top of page
STUDIO ODONTOIATRICO
DOTT.SSA ANTONIETTA ACINAPURA

Esempi di casi clinici :
Protesi su impianti

.jpeg)
.jpeg)
.jpeg)

.jpeg)
.jpeg)
.jpeg)
.jpeg)
.jpeg)
“All on four” protesi dentaria avvitata su quattro impianti

.jpeg)
.jpeg)
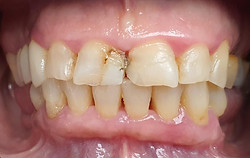
Conservativa estetica

.jpeg)
.jpeg)


.jpeg)
Rifacimento protesico per migliorare l’estetica e risolvere il diastema

.jpeg)
Recupero funzionale ed estetico dentale e gengivale

.jpeg)
Casi di ortodonzia

bottom of page